- Citas Centro Médico de Caracas: Lunes, Miercoles y Viernes. Pulse el botón Agende una Cita
- Sistema de citas en linea exclusivo para Centro Medico de Caracas en San Bernardino
- Citas CMDLT: Jueves. llamar al 0212-9496243 y 9496245
- Las Emergencias son atendidas en CMDLT previa coordinacion personal al 04142708338
- Proveedor Seguros Mercantil y Sudeban
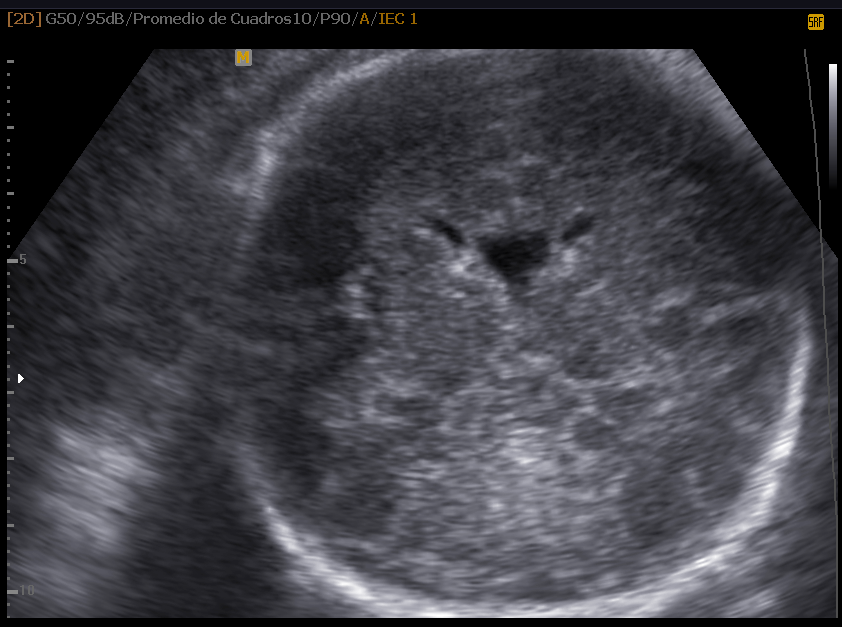
La Neurosonografía Fetal se refiere a la evaluación del Sistema Nervioso Central por Ultrasonidos: cráneo y su contenido (cerebro, ventrículos, tallo, cerebelo, etc.) y de la columna vertebral y su contenido (vértebras, médula espinal, líquido cefalorraquídeo, etc.).
La cabeza y la columna vertebral son los elementos que con mayor facilidad se identifican en vida embriofetal y además, son el asiento de una gran cantidad de anomalías congénitas diagnosticables durante la sonografía obstétrica; las anomalías del SNC se encuentran dentro de las anomalías más frecuentes del ser humano con un promedio de 1:1000 nacidos vivos (0.1%) y una prevalencia en vida adulta que podría rondar el 1% debido a la presencia de malformaciones no diagnosticables en vida fetal y/o que progresan en vida posnatal hasta hacerse clínicamente significativas o ser hallazgos casuales durante la evaluación del SNC por otras causas.
Aun cuando es muy sencillo determinar la presencia de anomalías por las características imagenológicas del SNC (estructuras muy evidentes) en ocasiones se pueden confundir con variantes normales, pasar desapercibidas por cambios mínimos, ser adquiridas in útero por accidentes ocurridos durante el desarrollo (vasculares, infecciosos) o no ser diagnosticadas por no estar presentes en el momento de la evaluación.
Mientras más severa es la lesión la detección es más temprana, peor es el pronóstico y mayor la posibilidad de pérdida fetal; las malformaciones del SNC se asocian frecuentemente con síndromes cromosómicos y genéticos (22-34%) pero se requieren estudios avanzados para su detección: cariotipo, microarreglo cromosómico y secuencia genética. En la mayor parte de los casos no se llega al diagnóstico preciso y la condición se maneja de acuerdo a los cambios anatómicos corregibles y rehabilitación.
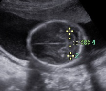
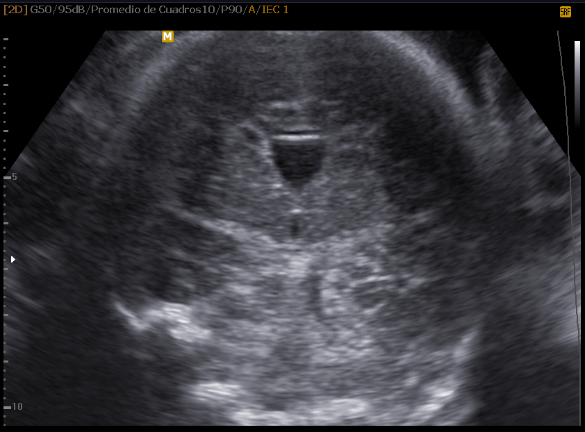
Cráneo
La determinación de la normalidad anatómica depende de la etapa del desarrollo en la que se pretende estudiar en contenido encefálico y del momento de aparición de las anomalías posibles; además, a diferencia de otros órganos cuya estructura madura es bastante estable y resistente a agresiones durante el embarazo, el contenido craneal puede verse afectado en cualquier etapa del embarazo, durante el nacimiento y en vida posnatal.
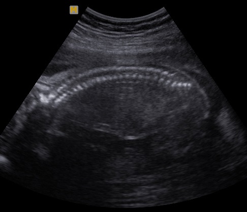
Columna vertebral
La columna vertebral, el eje neurológico que articula las funciones motrices y autonómicas del cuerpo comandadas por el cerebro y los sistemas vegetativos, es una estructura lineal mas sencilla de evaluar pero no menos importante desde el punto de vista diagnóstico por ser el asiento de las malformaciones más comunes del sistema, la espina bífida.
Elementos diagnósticos y de sospecha
Las estructuras intracraneales después de la semana 18-20 del embarazo son muy características y permanecen visualmente invariables hasta el final del embarazo, solo modificando sus tamaños a medida que el feto crece. Esto es de gran ayuda ya que permite determinar la aparición de cambios que podrían sugerir desviación de la normalidad y aparición de una malformación congénita o lesión adquirida por eventos externos especialmente relacionados a infecciones y accidentes vasculares fetales.
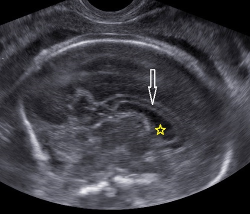
Cuerpo calloso: es una estructura compuesta por haces nerviosos cuya función es la de conectar e integrar regiones corticales homólogas entre ambos hemisferios cerebrales. Su ausencia total puede conducir a problemas cognitivos y del desorrollo psicomotriz o pasar totalmente desapercibida. Su ausencia parcial, paradójicamente, se asocia con peor pronóstico. Como estructura ecográfica, es una de las más bellas que hay en el cerebro pero, para obtenerla se requiere pericia y muy buena resolución ecográfica. Sus alteraciones congénitas son diagnóstico de problemas primarios del desarrollo cerebral y se manifiestan con cambios indirectos en otras secciones cerebrales, especialmente ventriculomegalia.
Lesiones cerebrales
En este resúmen gráfico se incluye la mayor parte de las lesiones cerebrales congénitas visibles en vida fetal; los cortes transversales expuestos aquí son insuficientes para algunas de ellas y los hallazgos pueden modificarse en el tiempo, usualmente manifestando mayor número de elementos anómalos. Muy pocas condiciones mejoran con el tiempo
Tomado de HN Xie et al. Using deep learning algorithms to classify fetal brain ultrasound images as normal or abnormal. Ultrasound Obstet Gynecol
Para ti
-
- Atiendo
-
- Estudio
-
- Cuido
-
- Guío
-
- Reviso
-
- Recibo

















